新潟市中央区大島の浅井歯科医院です。

セレック(CEREC)を用いたオールセラミック修復治療(即日修復:治療1日で終了!!):3ケース (自費診療!!)

ケース1:銀の詰め物(メタルインレー)と歯との間に隙間ができ、虫歯になった歯をセレック(CEREC)を用いて即日オールセラミック修復治療をおこなったケース!!

写真左:術前の写真

写真中:虫歯除去後の状態(形成後)

写真右:術後の写真

ケース2:コンポジットレジンと歯との間に隙間ができ、虫歯になった歯をセレック(CEREC)を用いて即日オールセラミック修復治療をおこなったケース!!

写真左:術前の写真

写真中:虫歯除去後の状態(形成後)

写真右:術後の写真

ケース3:コンポジットレジンと歯との間に隙間ができ、虫歯になった歯をセレック(CEREC)を用いて即日オールセラミック修復治療をおこなったケース!!

写真左:術前の写真

写真中左:虫歯除去後の状態(形成後)

写真中右:セラミックブロック(VITA MKⅡ 2M1C)からセラミックインレーを製作。試適時。

写真右:術後の写真

 

新潟市中央区大島の日本審美学会認定医(院長)の浅井歯科医院

https://www.jdshinbi.net/pro/ninteii/region.php?area=chubu

:新潟県新潟市中央区大島40−1 TEL:025−282−5694

https://asai-dental-clinic.com

(新潟県・新潟市・中央区・西区・江南区・南区・東区・北区・大島・親松・鳥屋野・女池・上山・上所・出来島・曽野木 などその他 全ての地域 :歯医者・歯科医院 )

(セレックオムニカム・セレックプライムスキャン・CT・マイクロエンド・セラミック・ジルコニア・ダイレクトボンディング・保存修復治療・歯内療法・審美歯科・マイクロスコープ・補綴治療・インプラント治療(Straumann:ストローマン)・歯科矯正(Clear Correct:クリアコレクト:Sure Smile:シュアスマイル:マウスピース矯正)なら新潟県新潟市中央区大島40−1の浅井歯科医院へ

新潟市中央区大島の浅井歯科医院です。

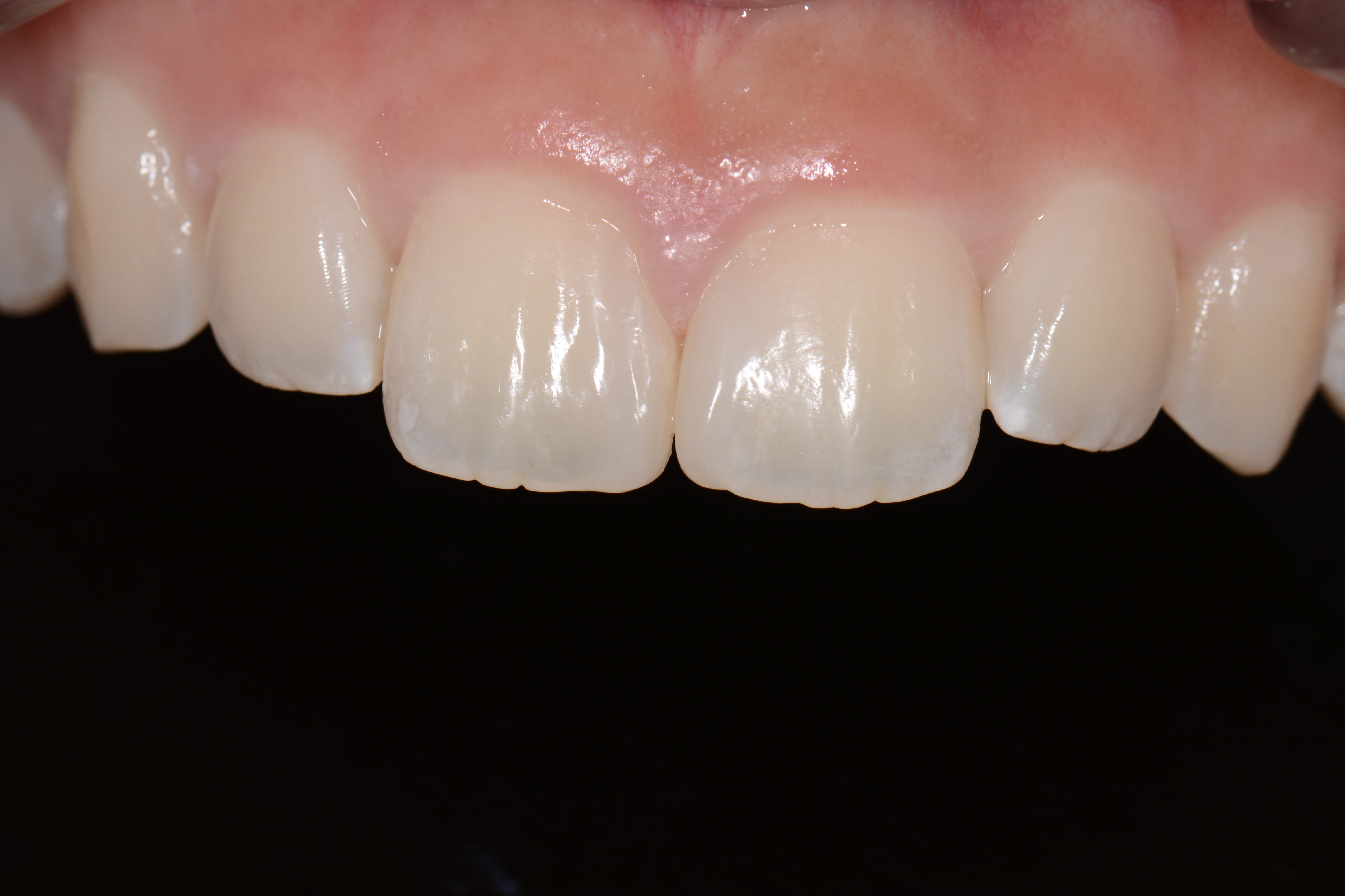
ダイレクトボンディング後6カ月の口腔内!!

定期的なメンテナンスおよびホームケアーしっかりしていただいているからと思います。

 

このケースの治療前・後の当院ブログ!!

前歯の隙間(正中離開)が気になるという患者さん!!ダイレクトボンディングで審美修復したケース!!(ダイレクトボンディングは新潟県新潟市中央区大島の浅井歯科医院まで:日本歯科審美学会 認定医:歯医者:歯科医院:審美歯科:TEL:025-282-5694

 

CEREC, セレック,プライムスキャン, プライムミル,オムニカム, セラミック, 即日修復, One Day Treatment, Vital Pulp Therapy:歯髄温存療法,ダイレクトボンディング

歯の根の治療(神経の治療)

保存修復治療、歯内療法、審美歯科、マイクロスコープ、補綴治療、インプラント治療(Straumann:ストローマン)、歯科矯正(Clear Correct:クリアコレクト:マウスピース矯正)なら

新潟市中央区大島の日本審美学会認定医の浅井歯科医院

:〒950−0953 新潟県新潟市中央区大島40−1 TEL:025−282−5694

(新潟市・中央区・西区・江南区・南区・歯医者・歯科医院・大島・親松・鳥屋野・女池・上山・上所・出来島・曽野木 など その他各地域)

新潟市中央区大島の浅井歯科医院です。

セレック(CEREC)を用いたオールセラミック修復治療(即日修復:治療1日で終了!!):3ケース (自費診療!!)

ケース1:虫歯になった歯をセレック(CEREC)を用いて即日オールセラミック修復治療をおこなったケース!!

写真左:術前の写真

写真中左:虫歯除去後の状態(形成後)

写真中右:セラミックブロック(VITA MKⅡ 2M1C)からセラミックインレーを製作。試適時。

写真右:術後の写真

ケース2:コンポジットレジンと歯との間に隙間ができ、虫歯になった歯をセレック(CEREC)を用いて即日オールセラミック修復治療をおこなったケース!!

写真左:術前の写真

写真中左:虫歯除去後の状態(形成後)

写真中右:セラミックブロック(VITA MKⅡ 2M1C)からセラミックインレーを製作。試適時。

写真右:術後の写真

ケース3:銀の詰め物(メタルインレー)と歯との間に隙間ができ、虫歯になった歯をセレック(CEREC)を用いて即日オールセラミック修復治療をおこなったケース!!(1日に2歯治療終了!!)

写真左:術前の写真

写真中左:虫歯除去後の状態(形成後)

写真中右:セラミックブロック(VITA MKⅡ 2M1C)からセラミックインレーを製作。試適時。

写真右:術後の写真

新潟市中央区大島の日本審美学会認定医(院長)の浅井歯科医院

https://www.jdshinbi.net/pro/ninteii/region.php?area=chubu

:新潟県新潟市中央区大島40−1 TEL:025−282−5694

https://asai-dental-clinic.com

(新潟県・新潟市・中央区・西区・江南区・南区・東区・北区・大島・親松・鳥屋野・女池・上山・上所・出来島・曽野木 などその他 全ての地域 :歯医者・歯科医院 )

(セレックオムニカム・セレックプライムスキャン・CT・マイクロエンド・セラミック・ジルコニア・ダイレクトボンディング・保存修復治療・歯内療法・審美歯科・マイクロスコープ・補綴治療・インプラント治療(Straumann:ストローマン)・歯科矯正(Clear Correct:クリアコレクト:Sure Smile:シュアスマイル:マウスピース矯正)なら新潟県新潟市中央区大島40−1の浅井歯科医院へ

 

新潟市中央区大島の浅井歯科医院です。

大きい虫歯ができてしまった患者さんの治療。

(左下7)歯の神経(歯髄)を保存したケース:(Vital Pulp Therapy:歯髄温存療法)をおこないCEREC:セレックを用いた即日オールセラミック修復をおこなったケース!!(自費診療!!)

(左下6)虫歯はダイレクトボンディングにて修復!!

写真左:術前の口腔内写真 写真右:術前のレントゲン写真

写真左・中左・中右:う蝕検知液をもちい虫歯:う蝕を除去除去していくと歯の神経(歯髄)まで到達。ダイヤモンドチップにて歯の神経(歯髄)を切断。切断面の確認。生理食塩水にて止血後、MTAにて直接覆髄。メガボンド2(クラレノリタケデンタル)をもちいてコンポジットレジンにて封鎖。

写真右:封鎖後、形成を行い、セレックプライムスキャンを用いて光学印象を行い、

セラミック修復物の製作(VITA MarkⅡ 2M1C)

写真左:術後の口腔内:レジンセメント:パナビアV5クリア にてセット

写真右:術後のレントゲン写真

ここまで全て即日でおこなっております(治療1回)

神経(歯髄)の保存のチェックを経過みて行なっていきます。

CEREC, セレック,プライムスキャン, プライムミル,オムニカム, セラミック, 即日修復, One Day Treatment, Vital Pulp Therapy:歯髄温存療法,ダイレクトボンディング

歯の根の治療(神経の治療)なら:新潟県新潟市中央区大島40−1 TEL:025−282−5694

保存修復治療、歯内療法、審美歯科、マイクロスコープ、補綴治療、インプラント治療(Straumann:ストローマン)、歯科矯正(Clear Correct:クリアコレクト:マウスピース矯正)なら

新潟市中央区大島の日本審美学会認定医の浅井歯科医院

(セレックオムニカム・セレックプライムスキャン・CT・マイクロエンド・セラミック・ジルコニア・ダイレクトボンディング)

:〒950−0953 新潟県新潟市中央区大島40−1 TEL:025−282−5694

(新潟市・中央区・西区・江南区・南区・歯医者・歯科医院・大島・親松・鳥屋野・女池・上山・上所・出来島・曽野木 など その他各地域)

 

新潟県新潟市中央区大島の浅井歯科医院です。

主訴:内側に入っている歯の歯並びを治したい。

主訴に対して考えれれる治療法を提示!!

患者様は、矯正終了後、上顎左右側切歯の矮小歯はラミネートベニア修復を行う事を選択

写真左:術前の口腔内写真

写真右:術後(現在)の口腔内写真:矯正治療+ラミネートベニア修復(上顎左右側切歯):2025年10月

写真左:矯正治療後に上顎左右側切歯(白矢印部位)ラミネートベニア修復後

写真右:ラミネートベニア修復(6年後)

 

新潟市中央区大島の浅井歯科医院へ(TEL:025−282−5694)

保存修復治療、歯内療法、審美歯科(ラミネートベニア修復・ホワイトニング)、マイクロスコープ、補綴治療、インプラント治療、歯科矯正:マウスピース矯正なら

新潟市中央区大島の日本審美学会認定医の浅井歯科医院

(セレック・CT・マイクロエンド・セラミック・ジルコニア・ダイレクトボンディング・VPT)

:新潟市中央区大島40−1 TEL:025−282−5694

(新潟市・中央区・西区・江南区・南区・歯医者・歯科医院・大島・親松・鳥屋野・女池・上山・上所・出来島・曽野木 など!

他県・他市・他区から来院!!)

新潟市中央区大島の日本審美学会認定医(院長)の浅井歯科医院

https://www.jdshinbi.net/pro/ninteii/region.php?area=chubu

:新潟県新潟市中央区大島40−1 TEL:025−282−5694

https://asai-dental-clinic.com

新潟県新潟市中央区大島の浅井歯科医院です。

前歯の隙間(正中離開)が気になるという患者さん!!ダイレクトボンディングで審美修復したケース!!

写真左:術前の口腔内写真

写真右:術後の口腔内写真

ASTERIA  A2B, NE , マジェスティーESフロー U

クリアフィルメガボンド2!!

写真右:術後の1週間後の口腔内写真

 

被せ物が気になる!銀歯をなくしたい!歯の色が気になる!歯並びが気になる!

など、歯の審美&美容に関することは、新潟市中央区大島の浅井歯科医院へ(TEL:025−282−5694)

しっかりと治療方針を聞きたい!!歯をしっかり治療したい!!歯を残したい!!審美的に治療したい!!)

当医院では、虫歯や詰め物の大きさなどに応じて、様々な治療法をしっかりと説明し、納得いただいてから治療を行います。

また、口腔内の清掃状態が悪い患者様(プラークや歯石がついている患者様)には、まず、担当歯科衛生士が、

お口の中の、清掃指導(ブラッシング指導)および歯肉の状態を改善します。

歯肉の状態や歯の清掃状態がいい状態で治療を行う方が、どんな治療でも良い治療を行う事ができるからです。(※緊急性がある歯がある場合は別です。)

新潟市中央区大島の浅井歯科医院です。

2025.7.21 CEREC Symposium:浅井歯科医院:院長講演

 

保存修復治療、歯内療法、審美歯科、マイクロスコープ、補綴治療、インプラント治療、歯科矯正:マウスピース矯正なら

新潟市中央区大島の日本審美学会認定医の浅井歯科医院

(セレック・CT・マイクロエンド・セラミック・ジルコニア・ダイレクトボンディング・VPT)

:新潟市中央区大島40−1 TEL:025−282−5694

(新潟市・中央区・西区・江南区・南区・歯医者・歯科医院・大島・親松・鳥屋野・女池・上山・上所・出来島・曽野木 など )

新潟市中央区大島の日本審美学会認定医(院長)の浅井歯科医院

https://www.jdshinbi.net/pro/ninteii/region.php?area=chubu

:新潟県新潟市中央区大島40−1 TEL:025−282−5694

https://asai-dental-clinic.com

新潟市中央区大島の浅井歯科医院です。

患者主訴:右上奥歯の歯が痛む!噛むと痛いし、ズキズキもする!!ので診てほしい

写真:術前のレントゲン写真

歯周ポケット3mm程。打診は他の歯に比べ少し違和感あり。

今考えられる状況(クラック、歯根破折、歯髄(歯の神経の状態)、歯周など)お話をし、まず最初は、噛み合わせの調整しました。

噛み合わせの調整をした後の状態を2回目の診療時お聞きしたが、変化ないとのことで、治療開始。

写真左:術前の口腔内写真

写真右:アマルガム除去後 赤印がクラックを示す

患者様に今の状況(クラックが原因で歯髄炎(歯の神経の炎症がでた事))を説明!!

歯の神経の治療を行う事になりました。

写真左:根管治療中の根(MB根に3つ神経の穴がありました!!)

写真右:根管充填後のレントゲン写真

根管充填後、ファイバーコア築造を行い仮歯にて経過観察。

経過観察時、術前の痛みなども無くなったので、型取りを行いました(プライムスキャンを用いて光学印象採得!!)

写真:オールジルコニアクラウンセット後の口腔内写真

現在まで痛みなど出現していない状態です。

歯の根の治療(神経の治療)なら:新潟県新潟市中央区大島40−1 TEL:025−282−5694

保存修復治療、歯内療法、審美歯科、マイクロスコープ、補綴治療、インプラント治療(Straumann:ストローマン)、歯科矯正(Clear Correct:クリアコレクト:マウスピース矯正)なら

新潟市中央区大島の日本審美学会認定医の浅井歯科医院

(セレックオムニカム・セレックプライムスキャン・CT・マイクロエンド・セラミック・ジルコニア・ダイレクトボンディング)

:〒950−0953 新潟県新潟市中央区大島40−1 TEL:025−282−5694

(新潟市・中央区・西区・江南区・南区・歯医者・歯科医院・大島・親松・鳥屋野・女池・上山・上所・出来島・曽野木 など その他各地域)

 

新潟市中央区大島の浅井歯科医院です。

セレック(CEREC)を用いたオールセラミック修復治療(即日修復:治療1日で終了!!):3ケース

ケース1:銀の詰め物(メタルインレー)と歯との間に隙間ができ、虫歯になった歯をセレック(CEREC)を用いて即日オールセラミック修復治療をおこなったケース!!

写真左:術前の写真

写真中左:虫歯除去後の状態(形成後)

写真中右:セラミックブロック(VITA MKⅡ 2M1C)からセラミックインレーを製作。試適時。

写真右:術後の写真

ケース2:銀の詰め物(メタルインレー)が外れ、虫歯になった歯をセレック(CEREC)を用いて即日オールセラミック修復治療をおこなったケース!!

写真左:術前の写真

写真中左:虫歯除去後の状態(形成後)

写真中右:セラミックブロック(VITA MKⅡ 2M1C)からセラミックインレーを製作。試適時。

写真右:術後の写真

ケース3:銀の詰め物(メタルインレー)と歯との間に隙間ができ、虫歯になった歯をセレック(CEREC)を用いて即日オールセラミック修復治療をおこなったケース!!

写真左:術前の写真

写真中左:虫歯除去後の状態(形成後)

写真中右:セラミックブロック(VITA MKⅡ 2M1C)からセラミックインレーを製作。試適時。

写真右:術後の写真

CEREC, セレック, プライムスキャン, プライムミル, オムニカム, セラミック, 即日修復, One Day Treatment, Vital Pulp Therapy:歯髄温存療法

保存修復治療、歯内療法、審美歯科、マイクロスコープ、補綴治療、インプラント治療、歯科矯正(マウスピース矯正)なら

新潟市中央区大島の日本審美学会認定医(院長)の浅井歯科医院

https://www.jdshinbi.net/pro/ninteii/region.php?area=chubu

:新潟県新潟市中央区大島40−1 TEL:025−282−5694

https://asai-dental-clinic.com

(新潟県・新潟市・中央区・西区・江南区・南区・東区・北区・大島・親松・鳥屋野・女池・上山・上所・出来島・曽野木 などその他 全ての地域 :歯医者・歯科医院 )

 

歯科衛生士募集中!!

詳しくは当医院まで!!

新潟県新潟市中央区大島の浅井歯科医院です。

前歯の隙間(正中離開)が気になるという患者さん!!ダイレクトボンディングで審美修復したケース!!

写真左:術前の口腔内写真

写真右:術後の口腔内写真

 

ASTERIA  A2B, NE , マジェスティーESフロー U

クリアフィルメガボンド2!!

 

新潟市中央区大島の日本審美学会認定医の浅井歯科医院

(セレックオムニカム・セレックプライムスキャン・CT・マイクロエンド・セラミック・ジルコニア・ダイレクトボンディング・保存修復治療・歯内療法・審美歯科・マイクロスコープ・補綴治療・インプラント治療(Straumann:ストローマン)・歯科矯正(Clear Correct:クリアコレクト:Sure Smile:シュアスマイル:マウスピース矯正)なら)

:〒950−0953 新潟県新潟市中央区大島40−1 TEL:025−282−5694