新潟市中央区大島の浅井歯科医院です。
セレック(CEREC)を用いたオールセラミック修復治療(即日修復:治療1日で終了!!):3ケース (自費診療!!)
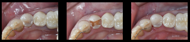
ケース1:銀の詰め物(メタルインレー)と歯との間に隙間ができ、虫歯になった歯をセレック(CEREC)を用いて即日オールセラミック修復治療をおこなったケース!!
写真左:術前の写真
写真中:虫歯除去後の状態(形成後)
写真右:術後の写真
ケース2:コンポジットレジンと歯との間に隙間ができ、虫歯になった歯をセレック(CEREC)を用いて即日オールセラミック修復治療をおこなったケース!!
写真左:術前の写真
写真中:虫歯除去後の状態(形成後)
写真右:術後の写真
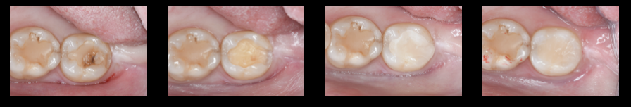
ケース3:コンポジットレジンと歯との間に隙間ができ、虫歯になった歯をセレック(CEREC)を用いて即日オールセラミック修復治療をおこなったケース!!
写真左:術前の写真
写真中左:虫歯除去後の状態(形成後)
写真中右:セラミックブロック(VITA MKⅡ 2M1C)からセラミックインレーを製作。試適時。
写真右:術後の写真
新潟市中央区大島の日本審美学会認定医(院長)の浅井歯科医院
https://www.jdshinbi.net/pro/ninteii/region.php?area=chubu
:新潟県新潟市中央区大島40−1 TEL:025−282−5694
https://asai-dental-clinic.com
(新潟県・新潟市・中央区・西区・江南区・南区・東区・北区・大島・親松・鳥屋野・女池・上山・上所・出来島・曽野木 などその他 全ての地域 :歯医者・歯科医院 )
(セレックオムニカム・セレックプライムスキャン・CT・マイクロエンド・セラミック・ジルコニア・ダイレクトボンディング・保存修復治療・歯内療法・審美歯科・マイクロスコープ・補綴治療・インプラント治療(Straumann:ストローマン)・歯科矯正(Clear Correct:クリアコレクト:Sure Smile:シュアスマイル:マウスピース矯正)なら新潟県新潟市中央区大島40−1の浅井歯科医院へ


