新潟市中央区大島の浅井歯科医院です。
<12月の診療日および休診日>
しっかりと治療方針を聞きたい!!歯をしっかり治療したい!!歯を残したい!!審美的に治療したい!!)
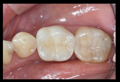
当医院では、虫歯や詰め物の大きさなどに応じて、様々な治療法をしっかりと説明し、納得いただいてから治療を行います。
また、口腔内の清掃状態が悪い患者様(プラークや歯石がついている患者様)には、まず、担当歯科衛生士が、
お口の中の、清掃指導(ブラッシング指導)および歯肉の状態を改善します。
歯肉の状態や歯の清掃状態がいい状態で治療を行う方が、どんな治療でも良い治療を行う事ができるからです。(※緊急性がある歯がある場合は別です。)
※現在、歯科衛生士募集中!!詳しくは当院までご連絡ください!!
CEREC, セレック,プライムスキャン, プライムミル,オムニカム, セラミック, 即日修復, One Day Treatment, Vital Pulp Therapy:歯髄温存療法,ダイレクトボンディング
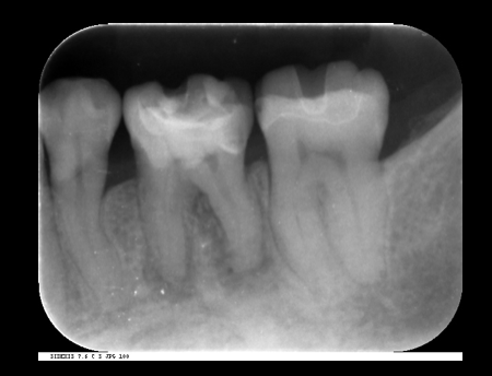
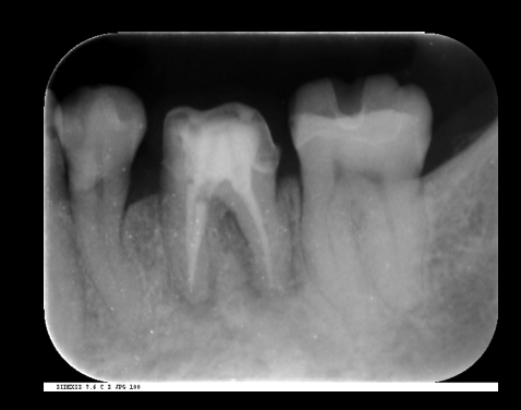
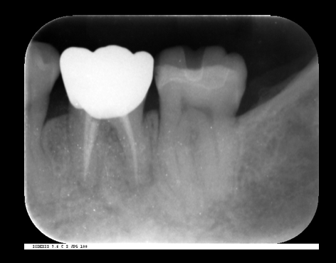
歯の根の治療(神経の治療)
保存修復治療、歯内療法、審美歯科、マイクロスコープ、補綴治療、インプラント治療(Straumann:ストローマン)、歯科矯正(Clear Correct:クリアコレクト:マウスピース矯正)なら
新潟市中央区大島の日本審美学会認定医の浅井歯科医院
:〒950−0953 新潟県新潟市中央区大島40−1 TEL:025−282−5694
(新潟市・中央区・西区・江南区・南区・歯医者・歯科医院・大島・親松・鳥屋野・女池・上山・上所・出来島・曽野木 など その他各地域)











